Dental hygiene tips for healthy teeth & gums

We don’t think about our teeth until they start giving us trouble. Maybe it starts with a dull ache. Or a cracked tooth that you swear was fine last week. It’s easy to shrug it off—until it just keeps getting worse.
But when dental problems start stacking up, it’s not just about one bad tooth. Sometimes, your mouth is giving signals that a bigger fix is needed.
That’s where full-mouth rehabilitation comes in. If you’ve been dealing with ongoing dental issues, this may be your solution to getting a fresh start. Below, we’ll break down five clear signs it might be time to see a Port Lavaca Dentist, TX for a comprehensive full-mouth reconstruction.
Maybe your jaw aches in the morning. Or chewing feels like a chore. Even headaches that won’t quit could be pointing to hidden dental issues. Pain isn’t normal. And if it’s constant or keeps returning, your bite may be misaligned, your teeth may be worn down, or there could be serious gum issues beneath the surface.
Full-mouth rehabilitation doesn’t just put a patch on the problem. It addresses the root causes—literally. Whether it’s correcting your bite, restoring damaged teeth, or replacing missing ones, the goal is to stop the cycle of pain and restore comfort for the long haul.
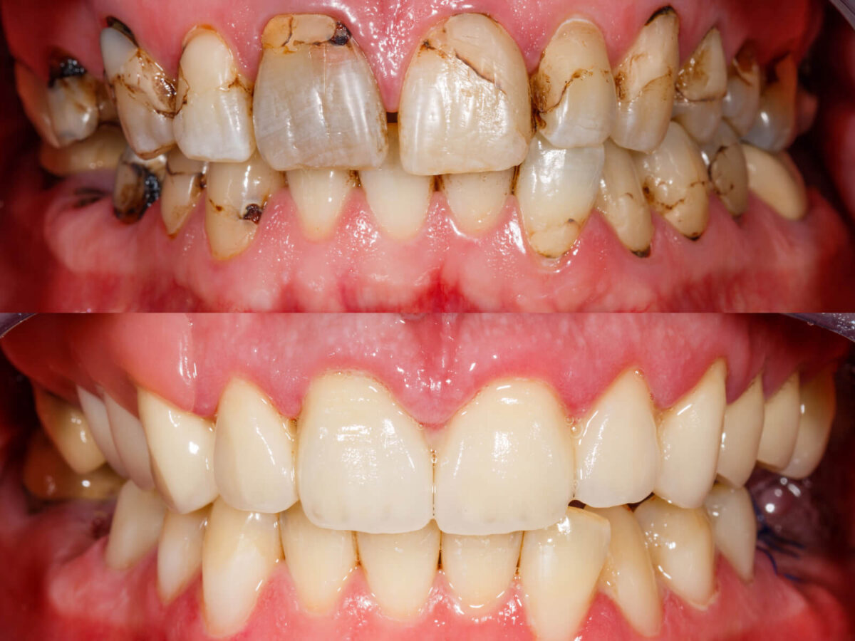
If you hold back from smiling, your teeth could be part of the reason why. Chips, stains, or gaps can quietly take away confidence too.
A full-mouth reconstruction can change that completely. Using a mix of cosmetic and restorative techniques—think veneers, crowns, implants—your Port Lavaca Dental Office, TX, can rebuild your smile to look and feel natural again.
More importantly, it can give you your confidence back.
Missing a tooth or two? It happens. But when you’ve lost multiple teeth, or the ones you still have are loose, cracked, or shifting, it’s time to think bigger.
Because your mouth functions as a system. When you lose one part, the others are forced to compensate, which can lead to more breakdown. What started as a single extraction could eventually affect your bite, facial shape, and even your ability to eat properly.
That’s where full-mouth rehabilitation becomes vital. Dental implants, bridges, or partial dentures can work together to bring function back and protect the rest of your mouth. And your Port Lavaca Dentist, TX, will design the entire plan to fit your unique situation.
Have you had a filling redone multiple times on the same tooth? Does your crown keep popping off? Do you feel like you’re always in the dental chair, fixing one thing after another?
This is a huge sign that your current dental foundation just isn’t strong enough anymore. Old restorations wear out, especially if they weren’t done with your long-term bite in mind. And if your teeth are already weak or shifting, it’s just a matter of time before more work fails.
Full-mouth reconstruction isn’t just about repairing teeth—it’s about creating a stable, functional structure that can last. With the help of a trusted Port Lavaca Dental Office TX, your dentist can evaluate your bite, replace old dental work, and rebuild your mouth in a way that’s designed to hold up for decades, not just a year or two.
If eating feels awkward, or your words are getting mumbled, that’s not something to brush off. These are basic daily functions your mouth should handle with ease.
Full-mouth rehab isn’t just about looks—it’s about making your mouth function properly so that eating and speaking feel normal again.
You’ll feel way more confident smiling, too. And the right Port Lavaca Dentist, TX, will make sure both are addressed.
So what’s the process like? Well, it depends on your mouth. That’s why it always starts with a full evaluation.
Your dentist may use X-rays, digital scans, and a full exam to map out a personalized plan. From there, the reconstruction could include any combination of the following:
Each piece of the puzzle works together to bring back health, function, and aesthetics. The process may take time, but it’s carefully phased to make sure everything heals properly and fits just right.
Here’s the part people don’t always expect: full-mouth reconstruction doesn’t just change your teeth, it changes your life.
Being able to eat comfortably again. Smiling in photos without second-guessing. Speaking clearly at work or in conversations.
These are things most people take for granted—until they’re gone.
Fixing your smile doesn’t just help your teeth—it does something for your whole outlook.
Honestly, your dentist’s the one who’ll know for sure—but if even one of those signs feels too familiar, it might be time to go get things checked out.
Remember, full-mouth rehabilitation isn’t just for extreme cases. It’s for anyone who wants to stop the cycle of dental problems and take control of their smile for good.
Your smile can reflect a lot about you. But if dental problems are making you hide it, it might be time for a fresh start.
If you’ve been putting up with pain, dental problems that never seem to quit, or just feeling off about your smile, there’s a way forward. A good Port Lavaca dentist TX, can work with you to build a full-mouth rehabilitation plan that fits your life and helps you feel normal again.
With the right plan and the right dentist, you can get back to smiling with ease.